マウスピース矯正で歯茎下がる?ブラックトライアングルについて
マウスピース調整をすると歯茎が下がる?と
患者さんに聞かれたことがあります。
結論から言うと矯正治療で大きく歯茎が下がってしまうということは少ないかと思います。
ただしマウスピース矯正であっても、ワイヤー矯正で
あっても歯のガタツキが大きな方は、
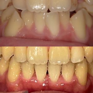
ブラックトライアングルと呼ばれる隙間が
生じることはよくあります。
その原因は元々歯が重なりあっている部分というのは
骨が少ないです。

ですから、それを広げて歯を並べることで、骨の少ない
部分が見えるようになります。

それがブラックトライアングルです。
(前提として骨の3mm上あたりに歯茎ができるという
原則があります)
対応としましては、歯と歯の間に削りを入れて
ブラックトライアングルを目立たなくするという
方法があります。
他にも歯茎を移植することもありますが、現在、かなり
高度な技術と侵襲を伴います。
ですから部位によっては、あまりおすすめできない
ことも多いです。
焼津市、藤枝市の歯医者
キャロットクリニック小田歯科
| 診療時間 | 月 | 火 | 水 | 木 | 金 | 土 | 日 |
|---|---|---|---|---|---|---|---|
| 08:30-18:30 |
午前のみ(12:30まで)
16:00まで
